-
Có thể sử dụng đột biến gen để điều trị bệnh tiểu đường và bệnh tim?
Gen kiểm soát một khía cạnh sức khỏe của chúng ta cũng có thể ảnh hưởng đến những người khác. Hiện tại, một nghiên cứu gần đây đã tiết lộ mối liên hệ giữa đột biến của ba gen kiểm soát cholesterol và nguy cơ mắc bệnh tim mạch và bệnh tiểu đường loại 2 thấp hơn.
-
Điều gì có thể gây phát ban trên mặt ở trẻ?
Ở trẻ sơ sinh, hầu hết các phát ban trên mặt là vô hại và có xu hướng rõ ràng mà không cần điều trị. Nguyên nhân có thể bao gồm eczema, mụn trứng cá và nhiễm trùng.
-
Cách điều trị môi nứt nẻ ở trẻ sơ sinh
Trẻ sơ sinh đôi khi bị khô da, và đôi môi của chúng có thể xuất hiện nứt nẻ. Một số biện pháp giúp các mẹ có thể khắc phục tại nhà nhằm dưỡng ẩm môi và giảm bớt sự khó chịu cho bé.
-
Thực phẩm có chất lượng dinh dưỡng thấp liên quan đến nguy cơ ung thư cao hơn
Những người thường xuyên ăn các loại thực phẩm có chất lượng dinh dưỡng thấp có nguy cơ phát triển ung thư cao hơn. Các tác giả nghiên cứu cho biết hiện nay nhiều quốc gia hơn nên thực thi ghi nhãn thực phẩm để xác định rõ ràng giá trị dinh dưỡng.
-
Viêm khớp ngón tay cái: Những điều cần biết
Viêm khớp là một tình trạng xảy ra khi một khớp bắt đầu mất đi khả năng kích ứng. Nó có thể ảnh hưởng đến khớp, bao gồm cả ngón cái. Viêm khớp ngón tay cái đôi khi được gọi là viêm khớp khớp cơ bản.
-
Mục tiêu mới được tìm thấy cho các khối u kháng thuốc
Rapamycin và các loại thuốc hoạt động như nó có tác dụng hạn chế đối với nhiều loại ung thư vì các khối u của chúng có khả năng chống lại chúng. Bây giờ, việc phát hiện ra một cơ chế tăng trưởng tế bào có thể dẫn đến những loại thuốc mới vượt qua được tính kháng này trong một số bệnh ung thư.
-
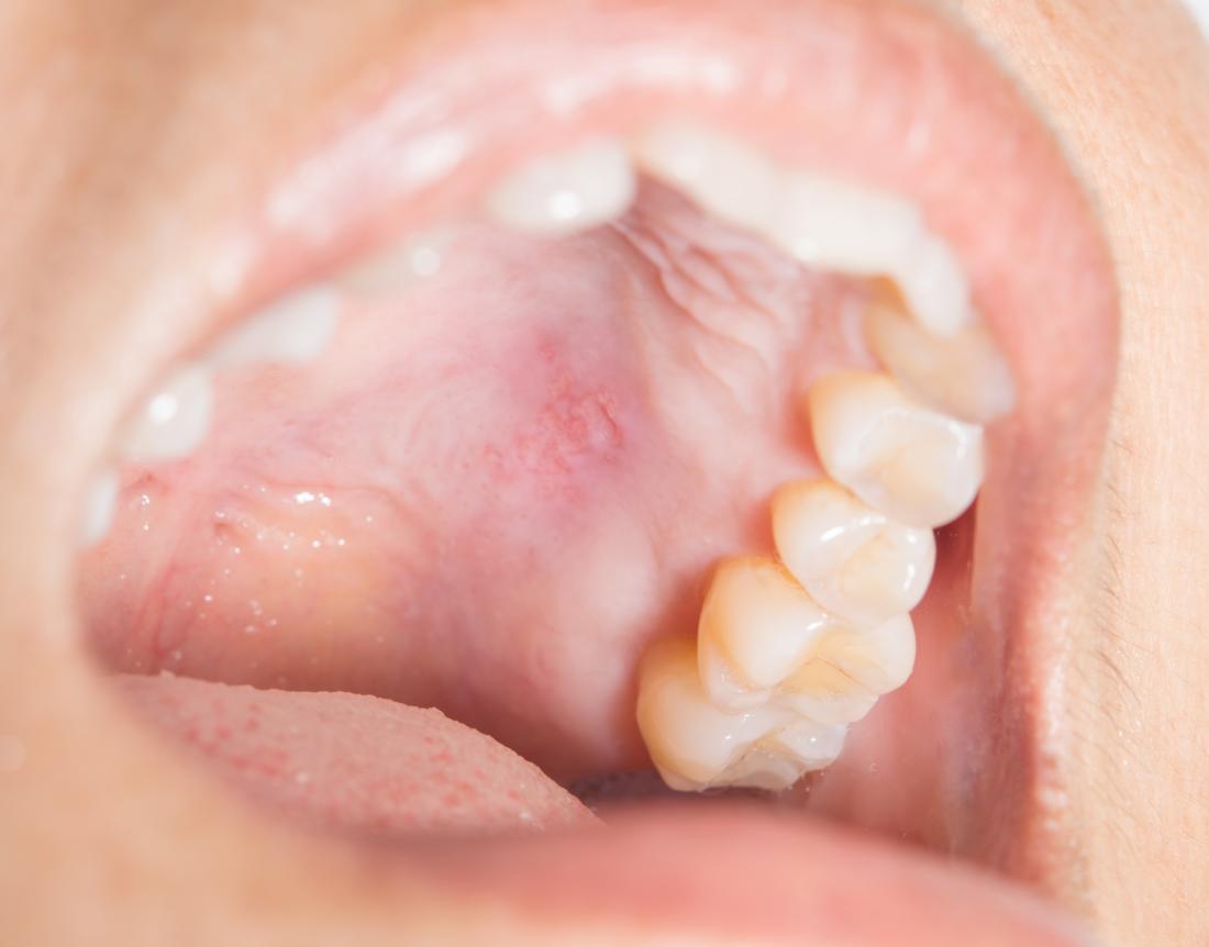
Điều gì gây ra một vết sưng trên vòm miệng?
Một vết sưng trên vòm miệng có thể đáng lo ngại, đặc biệt là nếu nó không biến mất một cách nhanh chóng. Hầu hết nguyên nhân của một vết sưng trên phần này của cơ thể có thể dễ dàng điều trị, nhưng nó cũng có thể chỉ ra một điều kiện cơ bản nghiêm trọng hơn.
-
Mọc răng có khiến bé bị nôn không?
Mọc răng là một quá trình tự nhiên mà mọi trẻ sơ sinh đều trải qua. Nó có thể là một trải nghiệm khó chịu, và nó có thể liên quan đến cha mẹ và người chăm sóc để xem trẻ sơ sinh bị đau và khó chịu.
-
Dùng bao nhiêu quả trứng là đủ
Không có một số lượng trứng cụ thể mà một người có thể ăn như một phần của chế độ ăn uống lành mạnh. Trứng đã từng được coi là một nguồn thực phẩm không lành mạnh về cholesterol cao và các vấn đề về tim mạch. Thực tế là lòng đỏ trứng có hàm lượng cholesterol cao là nguyên nhân chính gây ra hiện tượng này.
-
Bạn có thể uống cà phê trong khi cho con bú không?
Cho con bú có thể mệt mỏi, đặc biệt là trong những ngày đầu khi bé có thể ngủ bất thường và thức giấc nhiều lần mỗi đêm.
-
Vitamin D: Nghiên cứu gần đây khám phá những lợi ích mới
Phần lớn thế giới trải nghiệm một làn sóng nhiệt kỷ lục, Spotlight này hướng sự chú ý của nó đến vitamin D, cái gọi là vitamin ánh nắng mặt trời. Ở đây, chúng tôi kiểm tra nghiên cứu mới nhất.
-
Tại sao ngón tay của tôi lại bị nhăn nheo hay nhăn nheo?
Da trên các ngón tay có thể trở nên nhăn nheo hoặc pruney khi ngâm trong nước. Ngón tay Pruney có thể phục vụ một vai trò tiến hóa, giúp mọi người nắm lấy vật thể hoặc vật thể ướt trong nước. Nếu những ngón tay nhăn nheo xảy ra mà không bị ngập trong nước, nó có thể là dấu hiệu của một vấn đề y tế.
-
Những người yêu mèo, đây là cách một người bạn mèo có thể tăng cường sức khỏe của bạn
Những người đam mê mèo, bạn có biết làm thế nào những người bạn mèo thanh lịch có thể làm phong phú thêm cuộc sống của bạn? Chắc chắn, mèo rất đáng yêu khi họ âu yếm với bạn, và thật ấm lòng khi thấy họ cuộn tròn thành một quả bóng lười trên giường của bạn. Nhưng làm thế nào để họ cải thiện sức khỏe của bạn? Đọc tiêu điểm này để tìm hiểu.
-
Thủy đậu so với bệnh sởi, sự khác biệt là gì?
Thủy đậu và bệnh sởi là cả hai bệnh truyền nhiễm do virus gây ra. Chúng được gây ra bởi hai loại virus khác nhau. Thủy đậu là do virus varicella-zoster gây ra. Bệnh sởi , còn được gọi là rubeola, là do siêu vi khuẩn bệnh sởi gây ra.
-
Uống rượu có an toàn khi cho con bú không?
Uống rượu vừa phải là an toàn cho các bà mẹ cho con bú. Uống rượu vừa phải được định nghĩa là khoảng một ly mỗi ngày. Ở cấp độ này, nghiên cứu cho thấy không có tác dụng có hại cho trẻ sơ sinh. Tuy nhiên, không nên uống nhiều hơn một ly mỗi ngày.
-
Chiến đấu ung thư tuyến tiền liệt với kỹ thuật mới đột phá
Các tế bào ung thư tuyến tiền liệt phát triển trong phòng thí nghiệm có thể thay đổi cách thực hiện nghiên cứu. Chúng sẽ làm tăng đáng kể tốc độ mà các loại thuốc mới có thể được thử nghiệm.
-
Bệnh vẩy nến: Chế độ ăn Địa Trung Hải có thể làm chậm tiến triển của bệnh
Một nghiên cứu mới cho thấy rằng tôn trọng một chế độ ăn uống Địa Trung Hải có thể làm giảm mức độ nghiêm trọng của bệnh vẩy nến và làm chậm sự tiến triển của nó.
-
Chế độ ăn uống tốt nhất cho viêm xương khớp là gì?
Nhiều người thấy rằng việc thay đổi chế độ ăn của họ có thể giúp các triệu chứng viêm xương khớp, bao gồm đau, cứng khớp và sưng.
-
Vai trò của các tế bào miễn dịch đóng vai trò gì trong mắt khô?
Các tế bào miễn dịch làm gián đoạn khả năng của các tuyến mí mắt để giữ cho mắt được dưỡng ẩm có thể gián tiếp để đổ lỗi cho mắt khô, một tình trạng ảnh hưởng đến hàng triệu người trên toàn thế giới.
-
Nấm men thường được sử dụng có thể gây nhiễm trùng kháng thuốc
Một nghiên cứu di truyền gần đây cho thấy một loại nấm men thường được sử dụng trong ngành công nghiệp thực phẩm là giống hệt về mặt di truyền đối với một loại nấm gây nhiễm nấm nặng kháng thuốc. Các nhà khoa học kêu gọi thay đổi được thực hiện.