-
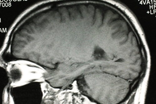
Thuốc chống sốt rét làm tăng điều trị glioblastoma
Thuốc, được gọi là lumefantrine, có thể cải thiện tỷ lệ thành công của phương pháp điều trị bằng xạ trị và hóa trị cho một loại ung thư não nghiêm trọng.
Glioblastoma multiforme (GBM) là một dạng ung thư đặc biệt tích cực, khó điều trị.
-
10 giải pháp tốt nhất để có một giấc ngủ ngắn tại nơi làm việc
Giấc ngủ trưa mang lại nhiều lợi ích cho nhân viên văn phòng. Giúp họ tỉnh táo phục hồi năng lượng để làm việc. Tuy nhiên nhiều nguyên nhân tác động khiến họ khó có được một giấc ngủ chất lượng. Dưới đây là 10 gợi ý tốt nhất cho giấc ngủ của bạn..
-
Top 5 biện pháp thư giãn tự nhiên ở ngoài trời
Thư giãn tự nhiên là biện pháp đơn giản có rất nhiều biện pháp để bạn có thể thư giãn chỉ với chiếc ghế thư giãn sân vườn.
-
Nghiên cứu cho thấy làm vườn sẽ giúp bạn khỏe hơn, hạnh phúc hơn
Nghiên cứu mới cho thấy rằng những người dành thời gian nhi cho mảnh vườn của mình sẽ có sức khỏe và hạnh phúc tốt hơn những người không có vườn.
-
Nghiên cứu tìm thấy các loại tế bào mỡ trắng khác nhau của con người
Khám phá ra rằng các tế bào mỡ trắng không giống nhau có thể giúp các nhà nghiên cứu hiểu rõ hơn về vai trò của các tế bào mỡ trong bệnh tật. Những rủi ro liên quan đến mô mỡ trắng, hoặc mỡ cơ thể trắng, phụ thuộc vào mức độ nào đó của chất béo.
-
7 ý tưởng quà tặng cho Vợ
7 Ý tưởng quà tặng cho Vợ chắc chắn cô nàng sẽ rất thích thú với những món quà sau đây, đặc biệt và ý nghĩa nhất ngay hôm nay
-
Sự thật về âm nhạc có giúp bạn thư giãn giảm stress
Âm nhạc mp3 có thật sự giúp bạn thư giãn giảm stress sau một ngày lao động mệt mỏi, hay giảm bớt sự buồn khổ sau khi chuyện tình cảm của bạn vừa kết thúc.
-
Nhà thuốc trực tuyến uy tín hàng đầu Hà Nội Đà Nẵng Tphcm
Mua thuốc online giao tận nhà 24/24 uy tín tại Hà Nội Đà nẵng Tphcm Cà Mau, chuyên nghiệp an toàn vì sức khỏe cộng đồng.
-
Chế độ ăn uống làm giảm bớt hoặc ngăn ngừa hen suyễn?
Ăn nhiều trái cây và rau quả và sữa có thể giúp ngăn ngừa hen suyễn, một đánh giá của nghiên cứu được công bố đã kết luận. Tuy nhiên, tuyên bố vẫn còn gây tranh cãi.
-
Sữa mẹ hút ra để được bao lâu, cách bảo quản sữa?
Bật mí sữa mẹ vắt hoặc hút ra có thể bảo quản được bao lâu, để giành cho bé bú nhiều cữ có tốt không, tất cả có trong bài viết này.
-
Cách mua thuốc tây online từ nhà thuốc trực tuyến
Bạn đang phân vân không viết phải đặt mua thuốc tây online ở đâu hà nội, đà nẵng hay tphcm uy tín, thuocgiaotannha sẽ bật mí cho bạn ở bài viết này.
-
Sữa mẹ để được bao lâu ✔️ cách rã đông ✔️ cách vắt sữa mẹ đúng cách
Các mẹ đang thắc mắc sữa mẹ để ngăn mát được bao lâu cách rã đông, cách vắt sữa mẹ đúng cách tất cả có trong bài viết này.
-
Mít Có Thực Sự Tốt Cho Sức Khỏe?
Mít, một loại trái cây ngon ngọt, giàu chất dinh dưỡng quan trọng như vitamin C, kali, đồng và mangan, có tinh bột và chất xơ, một nguồn thực phẩm chứa các vi khuẩn tốt có lợi cho hệ tiêu hóa.
-
Những loại trái cây tốt nhất mà các bà mẹ không nên bỏ lỡ
Thời kỳ mang thai Các bà mẹ cần nuôi dưỡng cơ thể nhiều hơn bình thường. Bởi vì các chất dinh dưỡng khác nhau mà các bà mẹ nhận được cũng sẽ ảnh hưởng đến em bé trong bụng mẹ.
-
Trái cây mà bà bầu tuyệt đối không nên ăn vì sức khỏe của mẹ và bé
Bà bầu ăn thực phẩm và trái cây thận trọng gấp 2 lần so với người bình thường vì chúng có thể ảnh hưởng đến thai nhi.
-
Măng tre lợi ích sức khỏe
Chồi non ăn được của cây tre là một loại rau theo mùa yêu thích của người dân châu Á. Được trồng ở một số vùng của nước ta, Nhật Bản, Trung Quốc, Đài Loan và Ấn Độ, những bức ảnh dịu dàng và sắc nét có nhiều phẩm chất tăng cường sức khỏe.
-
Nghiên cứu mối quan hệ nướu không lành mạnh với nguy cơ ung thư gan
Một nghiên cứu lớn về những người sống ở Vương quốc Anh cho thấy những người báo cáo có sức khỏe răng miệng kém, chẳng hạn như đau hoặc chảy máu nướu hoặc răng lung lay, có nguy cơ mắc ung thư gan cao hơn 75%.
-
Phụ gia thực phẩm thông thường có thể tác động đến vi khuẩn đường ruột
Một loạt các loại thực phẩm có chứa các thành phần mà chúng ta gọi là chất nhũ hóa. Một nghiên cứu mới trên chuột cho thấy những hợp chất này có thể tạo ra cả những thay đổi về sinh lý.
-
Uống soda sau khi tập thể dục có thể làm hỏng thận
Uống một ly nước ngọt mát sau khi tập luyện nóng có thể cảm thấy sảng khoái. Tuy nhiên, theo nghiên cứu mới nhất, nó có thể gây mất nước thêm và can thiệp vào chức năng thận.
-
Một loạt các nghiên cứu đột phá đã phát hiện ra rằng việc ngăn chặn một số thụ thể trong não dẫn đến sự phát triển của xương chắc khỏe.
Một loạt các nghiên cứu đột phá đã phát hiện ra rằng việc ngăn chặn một số thụ thể trong não dẫn đến sự phát triển của xương chắc khỏe. Một điều trị loãng xương mới có thể được trên đường chân trời?